Sábado, 12 de mayo de 2007
| Hoy
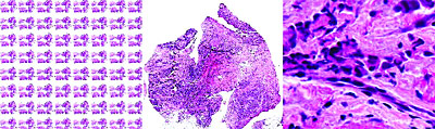
LA IMAGEN DE LA SEMANA

Es extremadamente detallista, a tal punto que hace culto de lo casi imperceptible. Y, además de capturar los aspectos más ínfimos de su objeto, tiene el honor de ser la primera: la primera imagen de un terapíxel (o lo que es lo mismo, un trillón de píxeles). Producto del trabajo de los investigadores de Aperio Technologies, Inc. y su programa “BigTIFF”, retrata una muestra de tejido mamario a una resolución increíble y nunca vista hasta el momento.
© 2000-2026 www.pagina12.com.ar | República Argentina | Política de privacidad | Todos los Derechos Reservados
Sitio desarrollado con software libre GNU/Linux.